Home / Tag Archives: fisure

Tag Archives: fisure

Feed Subscription

Šta su fisure i zašto ih pečatimo?

Šta su fisure i zašto ih pečatimo?

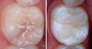
Na griznim plohama pretkutnjaka i kutnjaka, posebno kod djece i mlađih osoba, vidljive su brojne, fino oblikovane i različito razvedene jamice, udubine, žljebovi i brazde, koje se zajedno  nazivaju fisure. Najdublji dijelovi fisura često su, zbog svojih dimenzija i anatomskog ...

Read More »

Postupak pečaćenja fisura

Postupak pečaćenja fisura

Postupak je brz , bezbolan  i obavlja se u jednom posjetu stomatologu, a traje oko 6-7 minuta po zubu. Postupak  uključuje čišćenje površine zuba kako bi se uklonili svi ostaci hrane i zub pripremio za pečaćenje. Čišćenje se izvodi pomoću ...

Read More »
Scroll To Top