Home / AKTUELNOSTI IZ STOMATOLOGIJE / Incizalna dužina

Incizalna dužina

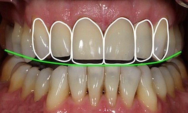
Najvažniji parametar u dizajniranju osmijeha je incizalna dužina te je ona posebno važna pri određivanju pravilnih proporcija zuba i nivoa gingive.

Pojam incizalne dužine podrazumijeva vidljivost gornjih sjekutića u različitim pokretima usana. Vidljivost sjekutića zavisi o dobi, polu te izgledu gornje usne. Kod mladih osoba vidljivost gornjih sjekutića iznosi oko 3,5 mm, dok je kod starijih osoba, zbog smanjenog tonusa mišića, ujedno i smanjena njihova vidljivost. Fonetske su karakteristike vrlo bitne pri određivanju incizalne dužine. Određujemo ih na način da pacijent sjedeći uspravno izgovara glas „M“. Nakon izgovora usne se vraćaju u opušteni položaj.

Prilikom ovog pokreta možemo posmatrati položaj incizalnih bridova zajedno s njhovim odnosom prema opuštenim usnama. Glas „I“ dovodi usne u položaj u kojem posmatramo incizalne bridove koji bi se trebali nalaziti na polovici između gornje i donje usne. Izgovorom dentolabijala „F“ i „V“ gornji sjekutići se naslanjaju na unutrašnji rub donje usne  te na taj način određujemo labiolingvalni položaj te dužinu gornjih zuba. Prilikom izgovora glasa „S“ mandibularni sjekutići nalaze se 1 mm iza i 1 mm ispod incizalnih bridova gornjih zuba.

Precizno određen položaj incizalnih bridova ključan je zbog povezanosti s konturom usana, nagibom prednjih zuba, vidljivosti prednjih zuba, ali i funkcijski s prednjim vođenjem. Navedeni faktori igraju nezaobilaznu ulogu u estetici i funkciji osmijeha.

Leave a Reply

Your email address will not be published. Required fields are marked *

*

Scroll To Top