
Skidanje starog fiksnoprotetskog rada može uslijediti zbog:
- propadanja bioloških tkiva, uporišnog zuba ili parodonta
- loma ili dotrajalosti fiksnoprotetskog rada
- promjene kliničke situacije.
Prije skidanja starog rada potrebno je razmotriti nekoliko fakora:
- vrstu krunice i gradivnog materijala
- prisustvo nadogradnji
- stanje zuba nosača i okolnih struktura; vitalitet zuba, prisustvo karijesa ili velikog ispuna, pomičnost zuba
- stepen dotrajalosti nadoknade
- vrstu cementa.
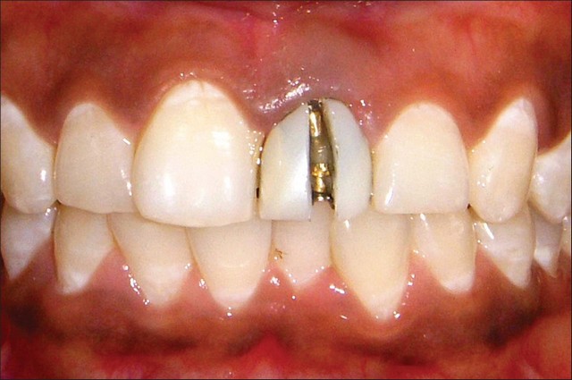
Prilikom skidanja potrebno je upotrebiti silu koja će nadvladati retencijsku komponentu brušenog zuba i veznu čvrstoću cementa. Retencija je određena oblikom bataljka i kontaktnom površinom koju čini površina bataljka i unutrašnjost nadoknade.
Komplikacije tokom skidanja stare nadoknade mogu biti:
- oštećenje zuba uslijed nepažljivog razrezivanja
- lom cijele ili dijela kliničke krune zuba te rasklimavanja zuba uslijed aplikacije prevelike sile upotrebom pneumatskog ili lupkajućih skidača
- ozljeda mekih tkiva nepažljivom upotrebom brusnih sredstava
- aspiracija ili gutanje krunica; posebnu pažnju treba posvetiti skidanju krunica u postraničnim dijelovima zubnog niza.