
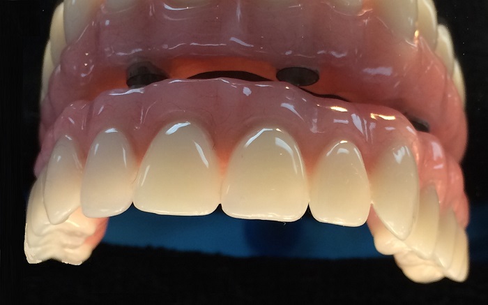
Ovaj oblik protetske terapije podrazumijeva potpune proteze koje se pričvršćuju na implantate, ali ih pacijent može svakodnevno samostalno skidati i održavati higijenu oko implantata. Na njega se često odlučuju pacijenti koji već nose potpune proteze, ali nisu zadovoljni čvrstoćom njihovog dosjeda.
Broj implantata koji je potreban za stabilizaciju proteze ponovo određuje stanje kosti i financijsko stanje pacijenta. Najmanji mogući broj implantata potrebnih za stabilnost proteze je dva implantata po vilici. U gornjoj vilici je su dva implantata čak i ispod minimuma, jer zbog oblika i same građe vilice takav rad ne može biti garantovano dugotrajan, ali ako je to jedina moguća opcija i pacijentu olakšava život, nije za odbaciti. U donjoj vilici je minimalan broj od dva implantata dovoljan.
Iz statičkih i funkcijskih razloga, ugradnja četiri implantata po vilici (dva na mjesto očnjaka i dva na mjesto prvih kutnjaka) se smatra idealnim a uspješnost takvog protetskog rada je vrlo visoka.
Sama veza proteze za implantat se osigurava pomoću posebnih vrsta abutmenta kao što su lokatori, kugle, prečke, teleskopi i sl. Kod svih oblika veza jedan dio se nalazi na implantatu, a drugi u protezi te se proteza mehanički veže jednim na drugi. Veza treba biti dovoljno čvrsta da protezu održava na ležištu prilikom govora i žvakanja, a opet dovoljno popustljiva kako bi pacijent mogao protezu skinuti i održavati higijenu.
