Home / AKTUELNOSTI IZ STOMATOLOGIJE / Postupak pečaćenja fisura

Postupak pečaćenja fisura

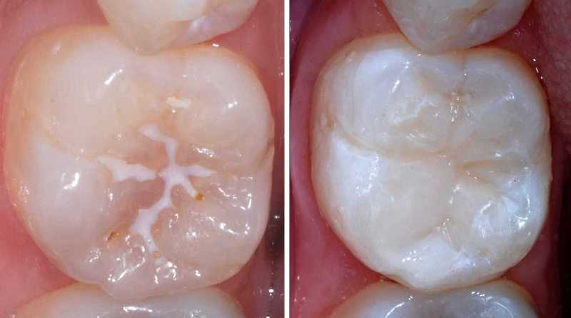
Postupak je brz , bezbolan  i obavlja se u jednom posjetu stomatologu, a traje oko 6-7 minuta po zubu. Postupak  uključuje čišćenje površine zuba kako bi se uklonili svi ostaci hrane i zub pripremio za pečaćenje. Čišćenje se izvodi pomoću profesionalne paste i rotirajuće četkice. Nakon što se isperu ostaci paste, zub se posuši i izolira. Na izolirani zub nanosi se  gel za jetkanje cakline, koji se zatim ispere a zub se posuši. Zatim slijedi postavljanje materijala za pečaćenje i njegova  polimerizacija, čime materijal prelazi iz tečnog u kruto stanje. Potrebno je paziti da zub koji pečatimo ne dođe u kontakt sa slinom jer kontaminacija slinom rezultira prijevremenim ispadanjem pečata. Tokom pečaćenja fisura važno je izbjeći postavljanje prevelike količine materijala u području fisura budući da mogu nastati smetnje u okluziji i artikulaciji, kontrakcija materijala, mikropropusnost i pucanje samog materijala. Materijali koji se mogu koristiti za pečaćenje fisura su tečne kompozitne smole i glassionomer cementi. Funkcija ovih materijala je da zatvaraju  fisure na zubu, onemogućuju zadržavanje hrane, otpuštaju kalcij i fosfor, smanjuju kiselost u ustima i sprečavaju otapanje cakline te štite zub od karijesa. Boja pečata ničim ne ugrožava estetiku osim ako mali pacijenti tako žele, tada je moguća  izrada pečatnog ispuna u omiljenoj boji.

Pečatni ispun može trajati između tri i pet godina. Istraživanja pokazuju da dobro postavljen i redovno kontrolisan pečat omogućuje dugotrajnu zaštitu zuba od karijesa. Dok je god pečatni ispun cjelovit, nepotrošen i bez pukotina, on štiti fisuru. Ako se pečatni ispun istroši ili ispadne, zub je potrebno ponovno zapečatiti. Trajnost se povećava ako dijete ima dobru oralnu higijenu i izbjegava gristi tvrde predmete.

Leave a Reply

Your email address will not be published. Required fields are marked *

*

Scroll To Top