
Položaj zuba u zubnom luku utiče na Vaš izgled i osmijeh. Najčešće nepravilnosti položaja zuba su kompresije zubnih lukova i dijasteme, tj. zbijeni i razmaknuti zubi
Idealni odnos gornjih i donjih zuba u zatvorenoj vilici je onaj u kojem gornji zubi strše neznatno više od donjih, a vršci kutnjaka su smješteni naizmjenično. Međutim, jako mali broj ljudi ima savršene zube i savršen zagriz.
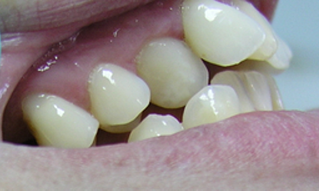
Kompresija zuba je ortodontska nepravilnost koja se ogleda u nedostatku prostora za pravilno svrstavanje svih zuba u zubne lukove. Kompresije su isto tako i rezultat nesklada u veličini širine zuba i raspoloživog prostora u vilici.
Ako su zubi preveliki za vilicu, dolazi do njihovog zbijanja zbog čega se oni mogu razvijati samo savijajući se unazad ili ‘preko’ susjednih zuba.
Međutim, ako su zubi premaleni, razmaci između njih biće preveliki, a ako je donja vilica manja od gornje, zubi u gornjoj vilici će stršati prema van.
Postoje dva načina kojima ortodonti riješavaju dentalnu kompresiju. Ako su zubi relativno veliki, ili je alveolarna kost relativno mala, tada liječenju kompresija prethodi smanjenje zubne supstance, tačnije ekstrakcijom ili stripanjem aproksimalnih ploha zuba. Drugi način u liječenju kompresija može biti i pokušaj da se poveća opseg alveolarne kosti, što je u praksi puno teže postići. Oba načina imaju ekstremne pristupe koji se manifestuju u pretjeranoj ekstrakciji zuba ili strahu od ekstracija i čuvanju cjelovitosti zubnog niza pod svaku cijenu.
Jedan od načina je i protetski – izradom estetskih keramičkih nadoknada.