Pozivamo Vas na edukaciju “Ortodontska terapija ortofolijama” u organizaciji zubotehničkog laboratorija Full Dent d.o.o. Banja Luka. Predavač je dr David Raičković koji će Vas provesti kroz sve faze rada sa ortofolijama te kroz brojne primjere kliničkih slučajeva. Sve detalje možete ...
Read More »Category Archives: Sponzorirani članci
Feed SubscriptionKoje prednosti nudi intraoralni skener Medit i500?
Otiskivanje je svakodnevni i nezaobilazan postupak u svakodnevnoj praksi gotovo svih grana stomatologije. ZAMIJENIĆE DOSADAŠNJE METODE Brzi razvoj digitalizacije u zubnoj tehnici sve više zamjenjuju klasične tehnologije izrade zuba i neminovnost je da je da će u skorijoj budućnosti digitalno ...
Read More »3D printanje – savremena tehnologija u modernoj stomatologiji
Intenzivna evolucija svih grana nauke nije zaobišla ni stomatologiju. Implementacija digitalizacije, informatike i računarstva dovela je do uštede vremena i materijala dok su potencijalne greške svedene na minimum. Najpraktičniju primjenu u svijetu stomatologije su pronašli softverski sistemi neophodni za rad ...
Read More »Često postavljana pitanja u vezi zuba
Koji su uzroci gubitka zuba? Propadanje zuba i parodontopatija su najčešći uzroci gubitka zuba. Propadanje zuba se odvija kada je većina mineralne strukture zuba daleko narušena i formirana je rupa (šupljina) u zubu. Dok se propadanje zuba kao posljedica karijesa ...
Read More »BASIC HANDS-ON TEČAJ: SEMADOS® SC/SCX i RS/RSX – Bihać, 29. februar
Pozivamo Vas da prisustvujete radnom (Hands-on) tečaju Bego Implantology sistem u organizaciji generalnog zastupnika za BiH, preduzeća MR DENTAL doo Bihać. Tečaj se organizira za sve doktore dentalne medicine koji bi željeli steći osnovno, ali i nadograditi postojeće znanje po ...
Read More »Predstavljamo – Roland DWX-52D Dental Milling Machine
DGSHAPE DWX-52D dental milling stroj još je jedan u nizu uspješnica koje su nastale zahvaljujući Rolandovoj 30-godišnjoj ekspertizi na polju pouzdanosti i inovacija koje su direktno zaslužne za znatno praktičniji i ekonomičniji rad i poslovanje u sferama dentalne protetike te ...
Read More »Predstavljamo – Roland DWX-42W Dental Milling Machine
DGSHAPE DWX-42W wet dental milling stroj je najnoviji model koji stiže iz bogatog portfolija Rolandove sjajne DGSHAPE serije. Donosi na scenu dentalne protetike potpunu novu dimenziju pouzdanosti i praktičnosti, te kao takav predstavlja jednu od najboljih solucija za sve zubotehničke ...
Read More »Kamen do kamena – upala desni
Zubni kamenac (mineralizirane zubne naslage) se najčešće nakuplja u rubovima između zuba i desni ili pod desnima gdje može prouzrokovati najviše problema, koji mogu postati poprilično ozbiljni. To je jedan od glavnih uzročnika koji mogu dovesti do razvoja parodontalne bolesti, vodeće bolesti ...
Read More »Za čiste međuzubne prostore i zdrave desni
Ako mislite da je za prevenciju bolesti zuba i desni dovoljno da dva puta dnevno, temeljito operete zube samo sa četkicom za zube, varate se. Čak i ako imate odličnu četkicu za zube, sa hiljadama mekih i tankih vlakana, ona će ...
Read More »Alveolitis – kako se riješiti bola nakon vađenja zuba?
POSTEKSTRAKCIJSKA BOL (dolor post extractionem) je, bez sumnje, jedna od najneprijatnijih komplikacija nakon ekstrakcije zuba. Na ovoj problematici je mnogo rađeno, a radi se i danas. Međutim, i dalje ostaje niz nerazjašnjenih pitanja i nedefinisanih stavova vezano za ovu neugodnu ...
Read More »Predstavljamo – četkica za zube CURAPROX CS 1006 – single
Četkica za zube CS 1006 – single idealna je za čišćenje svakog pojedinog zuba, za nježno i učinkovito čišćenje ruba između zuba i desni, bez njihovog oštećivanja. Četkica ima samo jedan snop vlakana i zaobljenu glavu, što omogućuje vlaknima da se u ...
Read More »Fiksni ortodontski aparat i pravilna oralna higijena
Osnova za zdravlje usne šupljine jest temeljita oralna higijena koja se najlakše održava redovitim uklanjanjem zubnih naslaga. One nisu ništa drugo već skupine bakterija i drugih mikroorganizama koje svojim djelovanjem mogu oštetiti naše zube i desni. Ako želite očuvati zdravlje ...
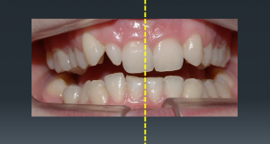
Read More »Modul 8 CS Orthoseminarsa – Asimetrije
U ortodonciji radimo sa asimetrijama na dnevnoj bazi – dentalnim i skeletalnim. Moje oči odmah gledaju u sredinu gornje čeljusti tokom prve konzultacije kako bih vidio da li se sredine poklapaju. To je jedno od najvažnijih točaka za pacijenta glede ...
Read More »44. MEDIDENT – Međunarodni sajam medicine i stomatologije – Beograd, 10. – 12. oktobar
Sredina oktobra rezervisana je za još jedan veliki događaj – 44. Međuarodni Sajam medicine i stomatologije “Medident“, koji će se održati u Beogradu u periodu od 10. do 12. oktobra. U pitanju je prestižna međunarodna manifestacija na kojoj domaći i ...
Read More »Nova linija proizvoda CURAPROX Perio Plus+
Švicarska kompanija CURADEN je lansirala novu liniju proizvoda CURAPROX Perio Plus+, koje osim provjerenog sastojka hlorheksidina sadrže i CITROX® s devet prirodnih bioflavonoida, dobijenih iz gorke narandže. Maksimalno djelovanje… Istraživanje koje je vodio prof. David Williams s Univerziteta u Cardiffu ...
Read More »